×
Ad

Tega! Pria Ini Dipaksa Telan 63 Sendok Saat di Panti Rehabilitasi

Sonia Basoni - detikFood
Kamis, 06 Okt 2022 19:30 WIB
Foto: Istimewa
Jakarta -

Jalani rehabilitasi untuk atasi kecanduannya. Nasib pria ini malah berakhir di rumah sakit, karena dipaksa menelan 63 sendok selama di sana.

Kasus perundungan atau bully ternyata tidak hanya terjadi di area sekolah atau kampus saja. Bahkan di tempat seperti panti rehabilitasi pun, diskriminasi hingga aksi kekerasan masih terjadi di sana.

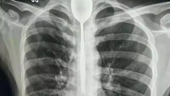
Dilansir dari Times Now News (06/10), kejadian malang ini menimpa pria bernama Vijay Kumar asal Uttar Pradesh di India. Pria berusia 32 tahun ini harus menjalani operasi selama dua jam, di sebuah rumah sakit karena dirinya mengeluhkan rasa sakit di perutnya.

Baca Juga: Telan Sendok Demi Taruhan, Sendok Tersangkut di Tenggorokan Selama Setahun" selengkapnya

Sebelum dioperasi, Vijay selalu mengeluhkan rasa sakit yang parah di area perutnya. Karena kondisi kesehatannya yang terus menurun, akhirnya salah satu keponakan Vijay, bernama Ajay Chaudhary membawa pamannya ke rumah sakit.

Ilustrasi sendok dalam perut manusia. Foto: Site

"Kami membawa paman ke rumah sakit swasta, karena paman mengeluhkan rasa sakit yang parah di sekitar perut. Di perutnya ternyata ada banyak sendok yang bersarang. Setahun yang lalu kami memang mengirimkannya ke pusat rehabilitasi yang mengatasi masalah kecanduan. Sepertinya di sana, paman kami dipaksa untuk makan da menelan sendok-sendok ini," ungkap Ajay.

Laporan Ajay kemudian dibenarkan oleh Dokter Rakesh Khurana, selaku dokter yang mengoperasi Vijay.

"Vijay dibawa ke rumah sakit sekitar 15 hari yang lalu, dan dari pemeriksaan X-ray, kami temukan benda logam di usus besarnya. Ketika saya menanyakan hal ini ke pasien, Vijay mengaku bahwa dia dipaksa untuk menelan sendok-sendok tersebut. Akhirnya kami lakukan tindakan operasi selama dua jam, tapi kami belum pernah melakukan operasi seperti ini sebelumnya," tutur Dokter Rakesh.

Bentuk sendoknya juga bukan sendok utuh. Melainkan Vijay harus mematahkan kepala sendok, dan yang dimakan hanya bagian gagang sendoknya saja.

Untungnya nyawa Vijay masih bisa tertolong. Ia kini masih berada di ICU, dan dalam proses pemulihan usai 63 sendok dikeluarkan daari perutnya.

Karena kasus pemaksaan makan sendok ini terjadi sekitar setahun yang lalu. Sampai sekarang pihak keluarga belum melaporkannya ke polisi. Karena pihak dokter pun, tidak bisa secara pasti menentukan kapan sendok-sendok ini masuk ke dalam perut Vijay.



Simak Video "Ragam Menu Vegetarian yang Disiapkan AS untuk PM India"

(sob/odi)
Berita Terkait
Berita detikcom Lainnya
Berita Terpopuler

Video

Foto

detikNetwork