Jakarta - Seorang remaja asal India, harus kehilangan nyawanya. Setelah ia menyantap
daging babi yang masih belum matang, sehingga otaknya diserang oleh cacing parasit.
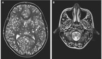
Remaja berusia 18 tahun yang identitasnya tidak disebutkan ini, kehilangan kesadaran setelah mengalami kejang di tubuhnya. Lewat pemeriksaan medis, ditemukan adanya benjolan di permukaan otaknya. Di mana hal ini berakibat fatal untuk keselamatannya.
Baca Juga: Jijik Tapi Enak, Ini Cacing Tamilok yang Populer di Filipina  Foto: Istimewa |
Dikabarkan Daily Mail UK (28/03), kondisi neurocysticercosis karena ada larva parasit yang ditemukan dalam
daging babi setengah matang. Sehingga ketika parasit ini masuk ke dalam tubuh, mereka menimbulkan efek samping yang menyerang sistem saraf pusat, sehingga memicu kejang.
SCROLL TO CONTINUE WITH CONTENT
Meski para dokter telah berusaha sekuat tenaga untuk menyelamatkan nyawa remaja ini, sayangnya nyawanya tak tertolong. Remaja ini sempat dirawat khusus selama dua minggu, tapi kondisi kesehatannya terus memburuk.
Kasus ini dipublikasikan lewat
The New England Journal of Medicine, oleh dokter Nishanth Dev, dari ESIC Medical College, Faridabad, India. Dokter Dev lah yang menangani pasien ini.
 Foto: Istimewa |
Menurut catatan medis, remaja ini mengalami kejang tonik-klonik yaitu kejang yang dapat menyebabkan epilepsi. Jika kejang berlangsung lebih dari 3 menit, artinya ada masalah kesehatan yang serius dalam tubuh pasien.
Sehingga ketika diperiksa lebih lanjut melalui tes serum, para dokter memastikan bahwa remaja pria tersebut sudah terinfeksi oleh T. Solium. Atau cacing yang biasa berada di dalam daging babi.
 Foto: Istimewa |
Sebelumnya para dokter sudah mengobati remaja ini dengan obat anti peradangan, yang biasanya digunakan untuk meredam reaksi alergi, radang sendi, hingga psoriasis. Dokter juga memberikannya obat anti-epilepsi, untuk mencegah kejang. Sayangnya, itu semua tidak cukup untuk menyelamatkan nyawa sang pasien.
Kasus yang disebabkan oleh daging babi yang belum matang, bukan pertama kalinya terjadi. Sebelumnya tubuh seorang wanitya asal Thailand, dipenuhi dengan cacing parasit yang timbul setelah ia sering menyantap
daging babi mentah.
[Gambas:Video 20detik]
(sob/odi)